Аби уникнути такого розвитку вагітності, вчасно відвідуйте свого гінеколога
Щороку у світі, згідно з дослідженням 2023 року, відбувається 208 мільйонів вагітностей. Серед них 374 вагітності можуть призводити до того, що плід опиняється за межею матки та кальцинується. Така вагітність називається літопедією або "кам'яною дитиною". Проте, згідно з документом 2019 року, за 400 років історії людства було задокументовано менше 300 подібних випадків, пише ScienceAlert.
У 1996 році в звіті про такий випадок лікарі описали літопедію у 85-річної пацієнтки, яка успішно народила ще чотирьох немовлят до того, як у неї стався неповний аборт у віці 41 року. Жінка продовжувала жити протягом десятиліттями не знаючи, що частини плоду залишилися в її черевній порожнині.
У звіті про випадок 2000 року описується цей феномен у 80-річного пацієнта. У звіті про випадок, опублікованому в 2014 році, описується літопедія у 77-річної пацієнтки, яка вважала, що взагалі ніколи не була вагітною. І звіт про випадок 2016 року задокументував випадок літопедії у 87-річної померлої жінки під час посмертного розтину.
Відповідно до огляду цього явища 1949 року, в якому було проаналізовано 128 випадків, середній вік матері, у якому виявляють літопедію, становить 55 років. Можуть бути випадки, які залишаються непоміченими. Кілька літопедій було знайдено в стародавніх могильниках. Причому найраніший відомий випадок датується 1100 роком до нашої ери.

Приблизно 2% всіх вагітностей є позаматковими. Час від часу запліднена яйцеклітина матері починає розвиватися в плід поза маткою, в черевній порожнині жінки. Це дуже небезпечно та потенційно смертельно, а така вагітність відома як абдомінальна.
Найбільш поширена форма позаматкової вагітності відбувається в матковій трубі, але трапляється вона і в яєчнику або шийці матки. Вважається, що літопедія виникає в 1,5-1,8% абдомінальних вагітностей. Зазвичай плід не виживає, але інколи така вагітність може призвести до народження живої дитини, як правило, передчасно.
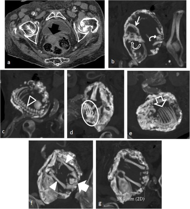
При абдомінальній вагітності організм здатний захистити себе, коли плід гине, перетворюючись на "камінь". Насправді ж це не камінь, а метал. Тіло матері просочує плід металевим мінералом кальцієм, основним компонентом кісток, у процесі, відомому як кальцифікація. Це безпечно відокремлює плід від власного організму матері, захищаючи його від сепсису.
Літопедіон з давньогрецької означає "кам’яне немовля". Мати може навіть виношувати та народжувати інших дітей, абсолютно не підозрюючи про інкрустовані кальцієм залишки плоду.
Підписуйтесь на наш Telegram-канал, щоб не пропустити важливих новин. Підписатися на канал у Viber можна тут.